大病不出县新突破——绥宁县人民医院介入导管室启动试运行
经过前期精心筹备,2022年2月15日,绥宁县人民医院介入导管室启动试运行,并由引进专家、副主任医师姜同辉率领团队顺利开展1台冠状动脉造影及1台冠状动脉造影+冠状动脉支架植入术,实现了我县介入治疗从无到有的新突破,为大病不出县打下了坚实的基础。当天,县卫健局党委书记、局长莫丛英,副局长张吉忠到场指导,县人民医院班子成员在操作间全程观摩。
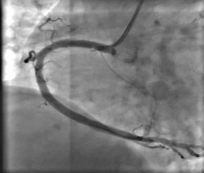
当天开展的两台手术中:病例1为36岁男性患者,因反复胸痛3年,再发20天来院求诊,经完善心电图等相关检查,予以行冠状动脉造影,排除冠心病、心绞痛致病可能。病例2为 60岁女性患者,既往有冠心病支架植入术病史,此次因胸痛不适来院治疗。经行冠状动脉造影,发现其右侧冠状动脉近中段有一处89.9%的血管狭窄,术中在征得患者及家属同意后,立即予以行冠状动脉支架植入术。术后患者生命体征平稳,截止目前未再复发胸痛。
支架植入术前 术后
术后院班子成员护送患者安返病房
介入手术间
介入操作间 绥宁县人民医院介入导管室配备GE 0ptima IGS 330血管造影机等先进设备,现有医护技人员7名,其中高级职称1人,中级职称5人。常规开展冠状动脉造影术、冠状动脉支架植入术、冠脉内超声、心脏球囊反搏、心脏临时起搏器植入术、心脏永久起搏器植入术、心脏同步化治疗、动静脉瘘封堵术及B型主动脉夹层、主动脉溃疡、肾动脉造影、肾动脉支架、下肢血栓、房间隔缺损、室间隔缺损、动脉导管未闭等疾病的介入治疗,以满足绥宁老百姓“大病不出县”的健康需求。 业务咨询电话:0739-2578882 学科带头人姜同辉个人简介:
副主任医师,南华大学硕士研究生,从事内科临床工作20余年。擅长:心血管疑难、危重疾病的诊治,冠脉介入治疗和心脏起搏器植入等。
关于介入治疗 介入治疗是在数字减影血管造影机、CT、超声和磁共振等影像设备的引导和监视下,利用穿刺针、导管及其他介入器材,通过人体自然孔道或微小的创口将特定的器械导入人体病变部位进行微创治疗的一系列技术的总称。 通俗的说“介入治疗”是利用现代高科技手段进行的一种微创性治疗;即:在医学影像设备的引导下,将特制的导管、导丝等精密器械,引入人体,对体内病灶进行诊断和局部治疗。
介入治疗有哪些优势? 介入治疗可将内科使用药物借助导管等直接输送病变部位,增加局部疗效,降低全身消耗和毒副反应,并具有微创性、不开刀、痛苦小、定位准确、可重复性强、疗效高、康复快、并发症少、住院时间短、适用范围广等特点,可以有效帮助患者尽快摆脱疾病困扰。 ★无创口或创口小,多数情况下仅需几毫米的皮肤切口,就能完成治疗。 ★患者只需进行局部麻醉,大大降低了麻醉的风险性。 ★对组织器官的损伤很小,患者恢复快。
手术创口极小 介入治疗技术 介入治疗可分为血管性介入技术和非血管介入技术。大家都很熟悉的治疗心绞痛和急性心肌梗死的冠状动脉造影、溶栓和支架置入就是典型的血管性介入治疗技术,而肝癌、肺癌等肿瘤的经皮穿刺活检、射频消融、氩氦刀、放射性粒子植入等就属于非血管介入技术。
介入治疗适应症 1.脑血管疾病:颅内动脉瘤、脑血管畸形、脑梗塞、颈动脉狭窄等; 2.大血管疾病:主动脉夹层、腹主动脉瘤、肾动脉狭窄、上/下腔静脉疾病、门静脉高压(肝硬化)、布加综合征等; 3.外周血管疾病:急性动脉栓塞、下肢动脉硬化闭塞症、糖尿病足、下肢静脉曲张、下肢深静脉血栓(含肺栓塞)、各部位的血管瘤、血管畸形、血液透析通路堵塞等; 4.肿瘤性疾病:肝癌、胆管癌、肺癌、肾癌、肝血管瘤等; 5.出血性疾病:颅内出血、大咯血、消化道大出血、血管疾病(动脉瘤破裂)出血、肿瘤破裂出血、产后大出血、创伤性出血、外科术后出血等; 6.妇科疾病:子宫肌瘤、子宫腺肌症、不孕症(输卵管阻塞)、盆腔淤血综合征; 7.骨科疾病:椎间盘突出症、转移性骨肿瘤、病理性骨折等。
通讯员:姜同辉 尹华英 编 辑:付文娟 编 校:李 佩 编 审:龙运军
|
||
























