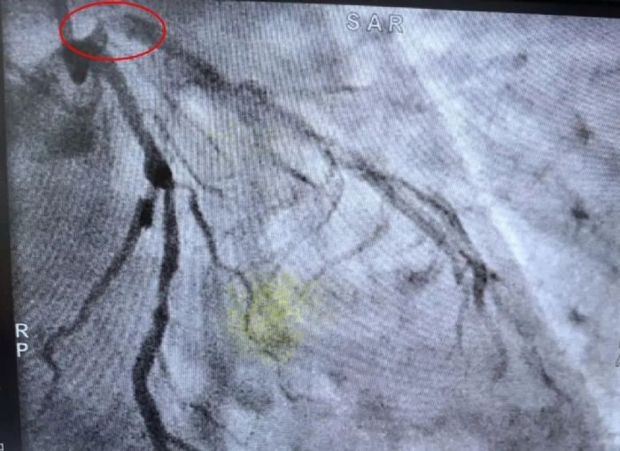
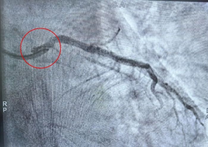
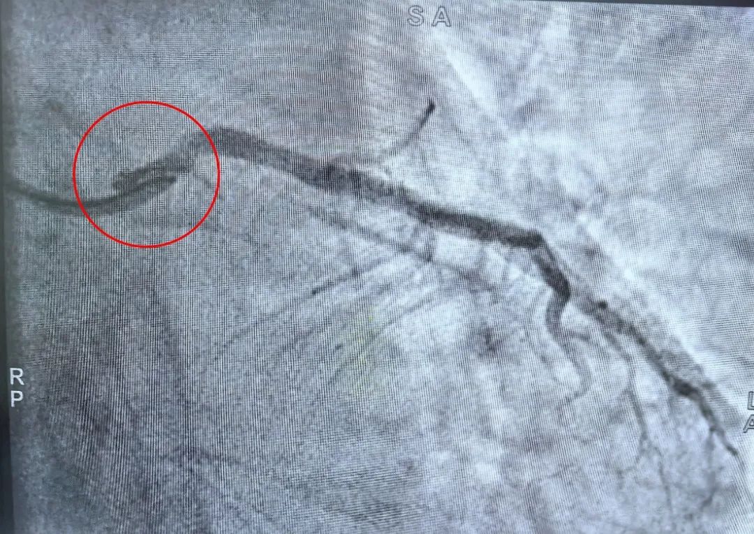
“想起12号那天的情形我现在还是一阵后怕,要不是您妙手回春救了老父亲一命,我们这一家子就失去主心骨了,特别感谢您的救命之恩,感谢县人民医院开展了介入治疗这个救命技术!”7月18日,当看着因大面积急性心肌梗死合并心源性休克的父亲顺利完成“三支病变”二期手术,微笑着被推出手术室时,郭先生紧紧拉住绥宁县人民医院心血管内科主任姜同辉的手,哽咽着说道。 近日,绥宁县人民医院介入导管中心成功为一名大面积急性心肌梗死合并心源性休克的“三支病变”患者,实施紧急心脏支架植入术,成功将生命垂危的患者从死神手中夺回,并于7月18日为患者顺利实施冠脉“三支病变”二期手术。一举攻克冠脉介入治疗中“三支病变”和心源性休克两大难关,标志着绥宁县人民医院冠脉介入治疗技术再创突破,迈入行业先进之列。 7月12日,一老年男性患者在县内某医院行CT检查时,因急性心肌梗死突然昏迷、血压骤降至临界值并丧失自主呼吸,情况危急;刚刚结束一台急性心梗急诊介入手术的绥宁县人民医院心血管内科主任姜同辉接到外院会诊申请。顾不得术后疲惫,立即前往该院进行紧急会诊,迅速查体后,看着依靠呼吸机及升压药物维持生命的患者,听着该院医师对患者病情的说明,姜主任的心猛然下坠——“大面积急性心肌梗死合并心源性休克及呼吸衰竭,不做手术,患者几乎没有存活的可能;做手术,风险巨大但仍有一线生机!”时间就是生命,姜主任深吸一口气与患者家属进行沟通,最终家属决定立即转至绥宁县人民医院行介入手术治疗,冒险争一争生机。 术前 术后 介入手术室中,看着“左冠前降支、回旋支共开口,无左主干;前降支近开口处95%局限性狭窄,近端80%弥漫性狭窄,对角支60%管状狭窄,回旋支中段狭窄90%;右冠中段80%弥漫性狭窄,后降支开口60%局限性狭窄”的冠脉造影结果,姜同辉主任原本就已经紧缩的心再一次被高高悬起——“三支病变的大面积急性心肌梗死合并心源性休克及呼吸衰竭”,手术难度相较预估大大增加。带着患者家属的希冀与患者生的希望,姜主任没有丝毫犹豫,稳定心神带领团队仅用时1小时15分,争分夺秒为患者在本次诱发急性心梗的“罪犯血管”——左冠前降支近端植入两枚心脏支架。支架植入后患者逐渐恢复神志,术后转入重症医学科进行监护治疗,7月13日病情稳定脱离呼吸机,14日转入心血管内科普通病房进行后续治疗,18日,顺利实施“三支病变”介入治疗二期手术。 姜同辉主任为患者进行检查 大面积急性心肌梗死合并心源性休克及呼吸衰竭,是死亡率极高的急危重症,尽早疏通闭塞或狭窄的“生命线”是唯一求生途径。此次成功救治大面积急性心肌梗死合并心源性休克的“三支病变”患者,不仅标志着我院心血管急危重症救治能力的提升,更为“大病不出县”目标的早日实现打下了坚实的基础。 |
||













