【大病不出县】患者心梗又刮“电风暴”,6次除颤+支架植入挽救患者生命 来源:绥宁县人民医院 作者:院办公室 更新时间:2023-1-6 阅读:30925次 |
||
【大病不出县】患者心梗又刮“电风暴”,6次除颤+支架植入挽救患者生命 “我没有想到像电视里惊心动魄的场景会发生在家人身上,如果不是你们全力抢救,我爸很可能就没了,真的太感谢你们了!”11月29日,一名男士将一面锦旗送到绥宁县人民医院心血管内科医护人员手中,激动的表达着对医护人员的感谢。 日前,在绥宁县人民医院上演了一场真实版的生死时速大营救!60岁的吴某多次意识丧失,出现非常凶险的心室“电风暴”,绥宁县人民医院心血管内科医护人员接续心肺复苏,6次电除颤+支架植入术,成功把患者从死亡边缘线拉了回来。 11月15日凌晨1点,患者吴某因“胸痛3+小时”至绥宁县人民医院就诊,急诊完善心电图检查后转入心血管内科,值班医师尹华英第一时间根据心电图反馈和病史,初步诊断为急性广泛前壁心肌梗死,并建议尽早行冠状动脉造影,评估冠脉情况。正当值班医师尹华英与吴某及家属沟通时,吴某突发抽搐、意识丧失,心电监护提示室颤,这是一种恶性心律失常,它意味着患者随时可能心跳停止,生死就在一瞬间!值班医师尹华英当即展开徒手胸外心脏按压,医护人员全力参与抢救,收到消息的科主任姜同辉和副主任杨敏也迅速赶到医院加入到抢救队伍中。
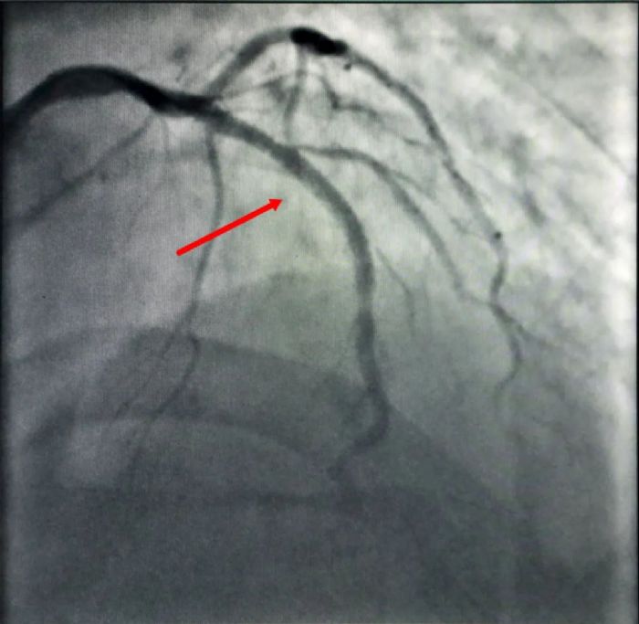
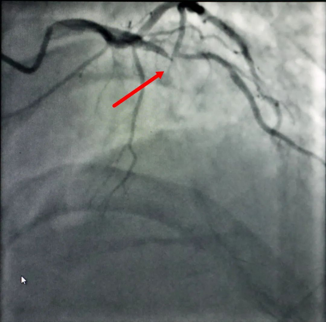
“立即电除颤”“快快快,赶紧心肺复苏”......随着一个个抢救指令不停的从病房内发出,一场与死神的正面“硬刚”随即展开。第一次电除颤很快让吴某恢复了窦性节律和意识,但紧接着,更可怕的情况发生了——心脏“电风暴”来袭,吴某的心脏几次“罢工”,室速、室颤一轮接一轮,险象环生,紧张的气氛弥漫在病房内,尽管汗水早已湿透了衣身,但医护人员仍全力以赴、分秒必争地坚持抢救,在医护人员的默契配合和不懈努力下,经过6次的除颤、心肺复苏后,“电风暴”终于平息下来。 支架植入前(左)和支架植入后(右) 姜同辉主任说:“抢救此类患者,紧急迅速开通血管最为关键!”虽然经除颤、心肺复苏等抢救,吴某的血压、心率得到了改善,但其病情仍未稳定,如再反复发生室颤必将危及生命。姜同辉主任立即将风险及治疗方案告知吴某及家属,征得同意后,迅速将吴某转入介入导管中心行急诊PCI(冠状动脉内支架植入术)治疗。结合病情,经冠脉造影术后,考虑前降支为此次急性心肌梗死“罪犯血管”,立即予吴某前降支植入支架,开通冠脉,改善心肌灌注。50分钟后手术成功,患者转入ICU进一步治疗。由于处置及时,术后吴某各项体征平稳,经一段时间的精心治疗,目前已康复出院。
温馨提示:心梗发病虽然突然,但其发生往往有一定的征兆,例如胸痛、肩背、上肢疼痛,疼痛较剧烈且不易缓解,咽喉部不适,或伴有恶心、呕吐、大汗等症状。如果出现这些症状,应提高警惕,及时就医。尤其是平时有高血压、吸烟等危险因素的群众,更要提高警惕。患者发病后切勿四处走动或自行去医院,这会增加心脏耗氧,容易加剧病情恶化。一旦出现急性心梗,要牢记两个120,一是及时拨打7616120呼叫救护车,二是救治黄金时间为120分钟。时间就是心肌,时间就是生命,如若发病请在最短的时间送院急救! |
||














