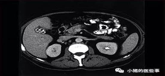
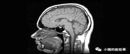
超声、X线、CT、MRI,该如何选择? 无论是看病还是体检,影像学检查总是非常重要的一部分。 超声、X线、CT、MRI,面对多种的检查,有没有产生一些困惑?这个检查是什么?为什么要选这个?为什么做了这个还要做那个?检查是越贵越好吗?...... 如何能根据自身情况,选择最适合的检查项目?专家告诉你每个检查是什么!如何选择检查!如何完成好检查! 一、【检查原理】 超声: [切面里看回声]。超声波穿透人体时产生反射波,收集该反射波信息进行成像,反映该切面内的结构,*用探头获取切面可以对任意切面进行检查*。 X线: [压扁透视看]。就像先将身体压扁,再发射X线穿过人体,由于身体结构的密度厚度对X线阻挡程度不同,最后投射在底片上射线量不同,经过处理形成图像,获得的图像是所有结构的重叠,*按射线发射前至后方向成像*。 CT: [切片透视看]。射线的原理与X线相似,不同的是将身体进行“切片”,显示每一切面里的结构,而不是X线的压缩重叠,*可从正面/侧面/横断进行切片成像*。 MRI(磁共振): [切片看原子运动]。人体内不同结构包含不同量的氢原子,人体进行MRI检查时,相当于体内的氢原子在磁场内进行运动,收集氢原子的运动信息进行切面成像,*正面/侧面/横断进行切片成像*。 二、【如何选择检查】。 不同部位适合的检查不同,下表是各部位与各检查的选择优先度: (没时间可以只看上图) 骨头:首选X线,进一步观察可做CT、MRI可观察里面出血及病变成分情况。 心脏:看心功能及结构首选超声、MRI可观察结构内病变。 腹部及盆部:包括肝胆胰脾肾肠子宫卵巢前列腺等,X线可初步排查胃肠是否穿孔,超声观察除肠管外的实性器官效果好,CT可更进一步明确病灶,MRI更适合对病变成分进行分析鉴别。 胸部:X线是首先要做,进行筛查CT显示效果最好。 皮表包块:指长在表浅部位的小包块,超声是首选,MRI也可对稍大的包块进行分析。 血管:浅表血管(四肢和颈部)超声好,深部血管(大脑及心、胸、腹部)CT好。 浅表器官:包括乳腺和甲状腺腮腺等等,超声是首选,MRI也可分析鉴别,其中X线中的钼靶是乳腺检查的重要部分。 脑及神经:MRI是首选,超声可初步检查表浅的神经。 以下是你们关注的费用和辐射等问题: 三、【如何做好检查】 是否禁食及需要大量喝水?与检查方式无关,与检查部位有关,腹部检查需要禁食6小时以上;腹部检查可在检查前大量饮水;泌尿系检查需要多喝水憋尿。 保持静止,进行检查时不要说话不要动,身体尽可能保持静止(就像你拍照时,动就会模糊~这个道理)。 动作配合。为了更好显示结构,做不同部位检查时,常要配合工作人员做特定动作,超声腹部检查常需要憋气鼓起肚子;颈椎X线检查常需要头后仰前伸张口。4大检查的特点都不一样,医生会根据实际情况进行选择。相信医生,好好配合,你会获得最好的效果! |
||




















