首页 > 医院动态 > 最新动态

我县自主完成首例膀胱肿瘤电切术

近日,我院泌尿外科自主成功完成了我县首例膀胱肿瘤电切术,填补了我县膀胱肿瘤微创手术治疗的空白,为患者保留了膀胱,提高了患者的生活质量和自信。患者无手术痛苦,手术当日即下床活动,4月1日,患者行膀胱灌注化疗后顺利出院。

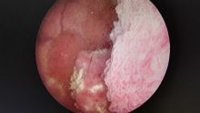
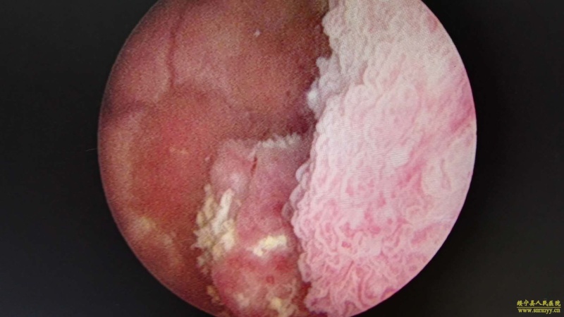
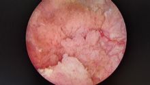
据悉,该手术患者为女性,50岁,常年在外打工,因反复血尿半年专程回绥宁县人民医院检查,入住泌尿外科后,医生给予患者B超、CT等有关检查,均提示膀胱右侧壁有多发肿瘤,为了更加明确诊断,主管医师付志峰(副主任医师)又在局麻下为患者行膀胱镜检,发现膀胱右侧壁及输尿管开口旁1cm处有多发珊瑚样肿瘤,并在肿瘤上取活检,确诊患者为膀胱癌,而后科室组织讨论,并与湘雅医院远程医疗会诊,一致制定了行膀胱肿瘤电切微创手术的治疗方案,手术于3月23日顺利进行,历时30分钟,肿瘤完整切除,为患者保留了膀胱。术后病理报告为膀胱尿路上皮细胞癌。

泌尿外科主任张华生(副主任医生)介绍:膀胱癌在泌尿系统肿瘤中排名第一,与吸烟,长期接触化工染料等因素有关,无痛性肉眼血尿为其最常见症状,治疗可以根据肿瘤的级别,浸润深度范围选择电切,膀胱部分切除,膀胱全切等方式,而电切术对膀胱损害小,膀胱功能不会受到严重破坏,对患者生活几乎无影响,但是因为膀胱肿瘤复发概率也较高,故术后需要定期行灌注化疗和膀胱镜检,必要时可以再次电切。

专家提示,日常生活中有血尿的患者很多,常见的病因有结石,泌尿系统肿瘤,结石多为疼痛性血尿,而泌尿系统血尿多为无痛性,如果出现血尿,一定要尽早到医院检查,排除肿瘤,平常也要定期进行健康体检,有助于疾病的早起发现,诊断和有效治疗。

                                                                                  (图文 付志峰 )

  

图为:膀胱镜下显示的成像

  

图为:取出的肿瘤标本进行送检

 编者按:3月23日,绥宁县人民医院泌尿外科成功开展首例膀胱肿瘤电切术,手术由泌尿外科副主任付志峰(副主任医师)主刀,手术仅30分钟即成功完成。我院引进的目前国际最先进的奥林巴斯等离子电切系统,成为全县仅有的一家可开展此项技术的医院之一,为绥宁县及周边区县前列腺增生患者及膀胱肿瘤患者等带来了福音,这在我院微创泌尿外科发展史中具有里程碑式的意义,同时填补了我县膀胱肿瘤微创手术这一领域的空白! (责编 黄铭培)